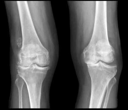
膝の痛みの場所や圧痛の有無、可動域や水が溜まっているかなどをチェックします。またレントゲンで膝の関節の隙間が減っていないか、変形がないかを確認します。
膝のお悩み
膝のお悩み

年齢を重ねるにつれて膝の軟骨の弾性が低下し、徐々に軟骨がすり減り膝の痛みの原因となることがあります。これを変形性関節症と言います。更年期を過ぎた女性に多く、体重がかかる膝の内側が痛むことが多いです。変形が進むと、内側の隙間がすり減り、O脚となることが多いです。初期は立ち上がりの膝の痛みが中心で、安静にすると痛みは改善します。しかし、進行すると階段や正座でも痛み、最終的に体重をかけていない時も痛みが出るようになります。

膝の痛みの場所や圧痛の有無、可動域や水が溜まっているかなどをチェックします。またレントゲンで膝の関節の隙間が減っていないか、変形がないかを確認します。

まずは炎症を抑えることが重要です。そのためには炎症を抑える薬、湿布、塗り薬、サポーターなどで治療します。またヒアルロン酸の注射を行い、骨同士ぶつかっている膝に潤滑液を注入し、炎症と痛みの軽減を図ります。並行してリハビリや物理療法を行い、総合的に治療していきます。

半月板とは膝の骨と骨の間のクッションであり、膝を安定化させる役割があります。その半月板が損傷することで膝の痛みが生じることを半月板損傷と言います。損傷の原因は複数あり、膝を捻るなどの大きな力が膝に加わることにより生じるもの、繰り返す微外傷により生じるもの、解剖学的破格を原因としているもの(円板状半月板、膝窩筋腱溝付近のhypermobile meniscusなど)。加齢による変性に起因するもの、などに分類できる。また靱帯損傷に合併するものでは前十字靱帯(以下、ACL)損傷が一番多く、脛骨が前方に亜脱臼するため、内・外側ともに、中-後節部の縦断裂が生じることが多いです。

膝の痛み、圧痛の場所、可動域、水が溜まっているかどうかを診察で確認します。またマックマーレーテストと言い膝をねじることで痛みを誘発する診察法も行うことがあります。レントゲンを行い、膝の関節の隙間があるかどうか、変形性があるかどうかもチェックします。半月板損傷を疑う場合はMRIを行うことで半月板損傷の確定診断を行います。

まずは炎症を抑えることが重要です。そのためには炎症を抑える薬、湿布、塗り薬、サポーターなどで治療します。並行してリハビリや物理療法を行い、総合的に治療していきます。当院では導入検討中ですが、PRPという再生医療の注射を行い、半月板の修復を促す治療があります。導入次第患者さまにお知らせさせていただきます。
保存治療で痛みが改善しない場合は、手術ができる病院へ紹介することがあります。
引用・参考
TOP