小児整形外科
小児整形外科
こどもの体は大人と違い、発展途上で成長段階であり、そのため特有の体の違和感や痛みが生じやすいと言えます。しかし、成長痛のような自然によくなるものもあれば、見逃すと後遺症が残る病気もあります。またこどもは自分の体の異常をうまく伝えられないことが多いです。当院では成長段階を踏まえた診療を行い、怖い病気を見逃さないことに留意して、お子さんに不安を与えない丁寧な診療を心がけております。ここではこども特有の病気の説明をさせていただきます。
以前までは、奇形や麻痺などの合併がない乳幼児の股関節脱臼を認める状態を「先天性股関節脱臼」とよんできました。しかし、発症原因として母胎内での胎位以外に、出生時には股関節が完全脱臼していなくても寛骨臼形成不全(股関節の屋根となる寛骨臼の形成が悪い状態)のある症例や、出生後の抱き方、オムツの種類、おくるみの巻き方などにより脱臼してくるような後天性の症例があることから、最近では発育性股関節形成不全という呼称が一般的に用いられています。女児、家族歴、第1子、骨盤位分娩、冬生まれは発育性股関節形成不全のリスクが高くなるため、出生時より注意が必要です。
基本的に自覚症状はなく、股関節を90°以上に曲げてから外転した際に開排制限を認めます。股関節を開排したときに股関節が脱臼し、整復する際に指で音を感じた場合はクリックサイン陽性と判断します。一般的には、大腿皮膚溝は左右とも1-2本ですが、脱臼している場合は下肢の短縮により溝の数が増え、溝が深くなります。また、仰向けで両股関節・両膝関節を曲げて、両膝をそろえた際に膝の高さが異なることをアリスサイン陽性といいます。股関節脱臼があると大腿骨の長さが短くなるため、脱臼側の膝が低くなります。


基本的には単純X線像や超音波の検査を行います。そのほかに、必要に応じてMRIや股関節造影などを行う場合もあります。

装具での治療リーメンビューゲル(Rb)法は股関節開排位、膝関節屈曲位に保つことで、股関節周囲の筋肉の緊張がゆるみ、股関節脱臼が整復されることが期待できます。しかし、Rb装具は過開排による骨頭の血流低下にともなう大腿骨頭壊死、骨頭の変形(ペルテス様変形)を引き起こすことがあるため、装具装着時は外来で慎重にみる必要があります。
Rb法で整復が困難な場合や、最初からRb法では整復がむずかしいことが予想される症例では、牽引療法を行います。牽引療法は一般的には入院で下肢を牽引し、愛護的に整復していく方法です。脱臼整復後は全身麻酔下での関節造影、開排位でのギプス固定を行う施設もあります。
保存治療で整復できなかった症例に対しては観血的整復術を行います。基本的には生後10カ月以降が適応で、股関節内の脱臼阻害因子(関節唇や臼蓋内の線維脂肪組織など)を処置することにより、脱臼を整復します。
遺残性亜脱臼に対する治療:保存治療、あるいは観血的整復術で脱臼の整復はできたものの、臼蓋のかぶりが浅い場合や、大腿骨頭の求心性がよくない場合には骨盤骨切り術や大腿骨骨切り術などの手術を必要とする場合もあります。

発育性股関節形成不全の予防として、出生直後からのコアラ抱っこがポイントです。コアラ抱っことは、赤ちゃんを正面から抱っこしたときに、赤ちゃんの股関節・膝関節が曲がっていてM字型の開脚になることをいいます。また仰向けに寝ているときには、両脚を伸ばすかたちでの衣類やおくるみのきつい巻き方は避けて、M字型の開脚を基本とする自由に脚を動かせる環境にしましょう。
引用・参考

単純性股関節炎は小児の股関節痛のもっとも多い原因疾患です。一過性の滑膜炎で、通常1-2週間程度の経過観察あるいは安静で軽快することがあります。好発年齢は3〜10歳で、男児に多く発症します。通常は片側に発症し、両側同時発症や多関節発症例はありません。おもな症状は股関節痛ですが、股関節痛以外にも大腿や膝の痛みを訴えることがあります。ウイルス感染や溶連菌感染との関連が考えられているほか、外傷説、アレルギー説などがありますが、原因ははっきりとは解明されていません。
診察とレントゲン、エコーなどで診断します。関節可動域は軽-中等度と制限され、とくに屈曲位で内旋が制限されます。微熱を認めることがありますが、通常、血液所見は正常値を示します。単純X線像では関節液の貯留により関節包陰影の膨隆、関節裂隙(れつげき)の開大、骨頭の外方化などを認めますが、骨陰影に異常を認めません。超音波検査やMRI検査で関節液貯留が明らかとなります。




通常、安静により2〜4週間で著明に改善します。長くても6週間以内の安静・経過観察で症状が改善します。疼痛が強い場合には消炎鎮痛薬の投与や松葉杖による免荷歩行、さらに症状が強い場合には入院が必要となることもあり、ベッド上で安静、牽引などを行います。
引用・参考
ペルテス病は、小児期に大腿骨近位骨端部に原因不明の阻血性壊死(血流が悪くなって骨が壊死すること)をきたす疾患です。壊死は最終的にほぼ完全に修復されますが、その過程で大腿骨頭の陥没変形、扁平巨大化や軟骨板の成長障害による頚部短縮、横径増大などが生じます。


原因は活発で多動の小児に多いことによる外傷説が有力です。そのほかにも炎症や内分泌異常などの原因が挙げられています。3〜12歳の男児に多く発症し、ピークは6〜7歳です。多くは片側性ですが、両側性も15-20%にみられます。高齢発症は予後不良因子とされています。初発症状は股関節痛が多いですが大腿から膝関節の疼痛のみを訴えることがあります。疼痛は数日で軽快する程度と比較的軽症で、低年齢では跛行のみを示すことがあり、発見がおくれ手術が必要となるお子さんもいらっしゃいます。
診察とレントゲンなどで診断を行います。関節可動域では開排(屈曲・外旋)、内旋が著しく障害されます。跛行と鼠径部に圧痛を認めます。X線像では骨頭骨端核の分裂や扁平化が特徴です。早期発見や病態の把握にはMRIが有用です。

治療には保存治療と手術治療があります。保存治療の原則は、免荷療法と各種装具を用いて股関節を外旋・内旋し骨頭を寛骨臼内で求心位に保持、骨頭の球形を保持して修復を待つことです。手術治療は6歳以上の年長者や保存治療に非協力的な場合に用いられますが、大腿骨内反骨切り術が一般的です。

引用・参考

大腿骨頭すべり症は、大腿骨頭に圧(体重)がかかり、骨端線部で骨端が後下方にすべるように発症する疾患です。10-14歳に発症し、11歳前後の男児に好発します。病型分類として明らかな外傷を契機として発症する急性型、明らかな外傷歴はなく徐々に発症する慢性型が存在し、慢性型が全体の70〜80%を占めています。慢性型の経過中に軽微な外傷で急にすべりが増強することがあります。
急性型では股関節痛を訴え、歩行困難を呈することがあります。
慢性型では異常歩行を主訴としますが、歩行は可能で疼痛は強くないことがあります。原因は内分泌異常や局所の力学的異常が原因として考えられていますが、結論は出ていません。

診察とレントゲンなどで診断します。仰臥位で患肢を屈曲すると患肢が開排(外転・外旋)していくドレーマン徴候を呈します。

単純X線正面像で骨端線が不鮮明にみえます。すべりが進行すると骨端が内側に位置するTrethowan(トレソーワン)徴候、側面像では骨端核後方部分が寛骨臼の外にはみ出すCapener(ケイプナー)徴候を認めます。
診断後はただちに荷重を禁止(松葉杖もしくは車いす)します。病型とすべりの進行度により決定されます。急性型では、牽引あるいは徒手整復で転位した骨端核をできるだけ正常の位置に整復してから内固定を行います。慢性型では、すべりの程度が軽度の症例は整復せずにその位置で固定を行います。すべりの程度が高度な症例には、各種の骨切り術を施行しすべりの角度を矯正します。

引用・参考

半月板とは膝の骨と骨の間のクッションの役割をする構造物ですが、胎児の頃はまん丸の形をしていて成長とともに徐々に三日月の形になっていきます。円板状半月とはイメージで言うと半月板がまん丸のまま残っているような状況です。ですので、骨と骨の間に挟まれて損傷し膝の痛みになりやすい方が一定数いらっしゃいます。

また円板状半月板は外側半月板がほとんどで、正常の半月板よりも厚く、内部の線維配列も異常で損傷を受けやすく、損傷すると伸展障害、膝の外側の痛み、ひっかかりなどが生じます。
診察とレントゲン、MRIで診断します。診察では痛みの場所、膝をひねったときに痛くないかなどをチェックし、レントゲンでは骨の異常がないかを確認します。最終的にMRIを撮影し、確定診断となります。

まずは安静、サポーター、痛み止めの処方を行い、炎症を抑えることから治療を始めます。痛みが落ち着いた場合はリハビリを行い、膝周囲の筋力を上げ、損傷部位に負担がかからないように生活指導も行います。それでも痛みが改善ない場合は手術で、余分な半月板を切除し縫合する半月板形成術を行うことが多いです。そのような場合は提携している病院へ紹介させていただくこともございます。

引用・参考
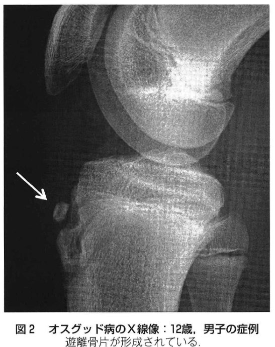
成長期の膝関節周辺に発生するスポーツ障害で最も代表的な疾患はオスグッド病です。膝の脛骨粗面というところが膝蓋腱によって引っ張られることで生じる膝伸展機構障害の一つです。成長期障害の特徴である患部の脆弱性や急激な身長増加による筋柔軟性低下を背景とし、そこに動作不良や運動量増加による患部への伸張ストレスが加わることが発症の一因となっていると考えられます。好発は10歳から14歳の男子で、30%が両側発症します。

診察では上の図のようなひざ下の骨の隆起を確認し、痛みの有無をチェックします。単純X線像で脛骨粗面部の不整な隆起像、遊離骨片がみられる場合、診断は比較的簡単です。しかし発症初期から進行期の場合はX線で脛骨粗面の変化を捉えることは困難であり、MRIや超音波検査が診断に有用であります。


発育期に生じるオスグッド病は、身長の急伸により大腿四頭筋の過緊張が生じ、脛骨粗面および膝蓋骨に大きな牽引力が加わることによって発症すると考えられています。初期の症例では、自発痛は軽く、運動終了後の違和感や、熱感脛骨粗面の腫脹などがみられます。運動時の強い痛みの出現は進行期からで、終末期に到ると脛骨粗面の腫脹や隆起が著明となり、痛みや圧痛も遷延します。
初期または進行期の場合、スポーツの休止または別メニュートレーニングを指示します。特に遊離骨片の形成が明らかでない場合は、終末期に進展させないために、患部の安静の指導をすべきです。遊離骨片を形成せずに分離部が癒合すれば、比較的短期間で(2カ月程度)スポーツ活動を再開できます。これに対して診断時にすでに遊離骨片を形成し慢性的な痛みをもつ場合は、スポーツ活動中の違和感や痛みは長期間続くことが多いです。このような症例には局所のアイスマッサージ、非ステロイド系消炎鎮痛剤の外用、オスグッド用のサポーターの使用、下肢のストレッチを指導し、可能であればスポーツを継続させてもよいと考えます。身長の伸びが終息し、残存した遊離骨片周囲の炎症や滑液包炎などで疾痛が続く場合は、遊離骨片の摘出や骨棘切除術が行われる場合があります。
引用・参考

成長痛はこどもに生じる一時的な足の痛みのことを言います。3歳から5歳の幼児に多く、夕方から夜間に一時的な強い足の痛みを訴えますが、翌朝には消失して昼間は普通の生活ができるというのが典型的な例です(1)。明らかなきっかけはなく、毎日繰り返され長期間にわたることも多い病気で、痛みのあまり泣くこどももいらっしゃいます。経過が長いことが多いため、心配になる親御さんはたくさんいらっしゃると思います。

実は診断基準1)があります。
この4つの項目のすべてに当てはまると、成長痛の診断となります。そのため、診断には問診と診察、レントゲンの検査が必要となります。

多くの症例では特別な治療は不要であり、様子をみていれば痛みは治まることが多いですが、それでもこどもに何かしてあげたいと思うのが親心です。ここでは3つの治療を提案させていただきます2)。一つ目はスキンシップです。痛いところをさすったり温めたりするだけで速やかに治まることが多く、積極的な親御さんとお子さんのスキンシップが勧められています。二つ目は痛み止め(アセトアミノフェン)や湿布による治療です。ある研究では52%の症例で疹痛に対し薬物療法が必要で有効であったと報告されています。3つ目はストレッチです。別の研究では、成長痛の児に対し大腿四頭筋、ハムストリングスならびに腓腹筋へのストレッチを1日2回毎日行った結果、対照群と比較して、痛みの出現の頻度が有意に改善しており、ストレッチを行った患者さまでは開始後9カ月の時点で疾痛は消失していたのに対し、ストレッチをしていない患者さまでは調査開始後18カ月の時点でも1カ月平均2回の痛みが出現していたとして、ストレッチの有効性が報告されています。
成長痛は症状が長期化しても数年間で自然寛解し、後遺障害はみられないと言われています(2)。最近の報告では、成長痛発症から5年が経過した時点で35例中18例(51%)では痔痛の訴えが消えました。さらに痛みが残った17例のうち14例(83%)では痛みの頻度・程度ともに軽くなっていました。痛みがなくなるまでにそれなりの時間が必要ですので、親御さんが辛抱強くサポートすることが重要です。しかし親御さんに無理が重なったり、ストレスがたまり、倒れてしまったら大変ですので、無理のない範囲で自宅でスキンシップやストレッチを行っていきましょう。駅東ラッコ整形外科クリニックはいつでも患者さま・ご家族の味方ですので、なんでもご相談ください。
引用・参考
分離症はこどもの腰痛の原因で最も多く、腰椎が疲労骨折を起こすことで腰痛を生じます。好発年齢は10歳から16歳で男子に多いです。運動やスポーツで繰り返しの負荷が腰にかかることで腰椎後方の関節間部という部分が疲労骨折を起こし発症します。

放置すると骨がくっつかなくなり、腰椎が前方へズレる腰椎すべり症となり、慢性的な腰痛や足のしびれの原因となることもある怖い病気のひとつです。そのため、早期診断早期治療が必要ですので、こどもの腰痛は放置せずに、軽い腰痛であってもクリニックや病院へ受診することをお勧めします。

診断は画像検査で行います。レントゲンでは関節間部というところに、隙間がないかを確認します。隙間や骨折線があれば分離症の診断となります。しかしながら、超初期はレントゲンでわからないため、疑ったらMRIを撮影します。MRIでは骨折部が骨浮腫を起こし、STIRという画像で高信号変化を示すことで診断ができます。

治療は病気のステージによって違います。超初期や初期、進行期でもMRIで信号変化があるものは骨癒合が見込めるため、しっかりとした治療を行います。運動を3カ月間完全にストップし、コルセットも3カ月間しっかりつけてもらいます。下肢の筋肉の硬さ、特にハムストリングスという筋肉が硬いと、腰の負担がかかりやすいため、並行してストレッチを中心にリハビリしてもらうことが多いです。

進行期でMRI信号変化がない場合や終末期の場合は、運動休止は行わず、ストレッチを中心にリハビリを行います。腰痛が運動の妨げになる場合は手術で腰椎を固定する場合もございます。なるべく、病気のステージを進行させないために早期発見が重要な病気であることが分かります。

小学校や中学校の学校検診で姿勢の異常でひっかかり、当院を受診する方は比較的多いです。その中でも多い病気として胸椎や腰椎が曲がってしまう側弯症という病気があります。8割は原因が分かっていない特発性側弯症であり、女児に多いと言われています。進行すると装具治療や手術治療が必要となる方もいらっしゃいます。予防する方法はわかっていませんので、早期発見することが重要となってきます。

診察で上記の図のような肋骨隆起やウエストラインの非対称などを確認します。またレントゲンを撮像し、Cobb角を測定することで、胸椎や腰椎のカーブがあるかを確認します。

治療方法は側弯のカーブの角度によって分かれます。カーブの角度が24度以下は要経過観察の対象となり、成長段階の場合は4カ月に1度レントゲンを撮り、側弯の進行がないか確認します。角度が25度以上の場合は装具治療の適応となります。装具治療には脇下からのアンダーアームブレースが主に使用されています。

角度が45度以上で、骨が成熟している場合は手術を考えます。手術は金属製の内固定材による矯正固定術と骨移植術が中心となります。医学の進歩により矯正率は60-70%と目覚ましく上昇しております。手術の目的は、見た目の問題もありますが、最も重要なのは側弯の進行予防です。45度以上の側弯は、成長期を過ぎてからも少しずつでありますが進行することが多く、長期的には重症側弯に進行することが知られています。中高年以降で重症側弯に進行した場合、心肺機能の悪化や神経症状を生じることもあります。10歳代の段階で側弯を矯正し進行を防止することにより、将来的な健康に対する不安を払拭することが重要です。

参考・引用

リトルリーグショルダーは、骨端線閉鎖前の野球選手に発生する投球障害で、上腕骨近位骨端線離開を指します。投球動作は、下肢・体幹で蓄えられた力を、肩甲帯から上肢を介してボールに伝える運動連鎖でありますが、投球障害肩の発症早期では、肩自体に原因があることは少ないと言われます。むしろ下肢や体幹、肩甲胸郭の機能不全による、肩甲上腕関節への過負荷が原因で生じることが多いです。骨端線閉鎖前の上腕骨近位には、投球動作による剪断ストレスと牽引ストレスが繰り返しかかることで、骨端線障害をきたします。初診時には、上腕骨頚部に圧痛を認めることが多いですが、ほとんどの症例で、下肢や体幹、もしくは肩甲胸郭機能の異常が同時に存在すると言われています。
肩周囲の痛みの場所、圧痛点、可動域を確認します。またレントゲンとエコーで診断を行います。

局所症状(自発痛や圧痛、エコーでの血流増加)がある期間は、投球禁止とし、その間に下肢・体幹・肩甲帯を含めた柔軟性低下や運動機能低下の是正を行います。1カ月程度の理学療法ですべての異常所見が陰性化し、投球が再開できることが多いですが、遠投など1球によるエピソードがある場合は、時間を要することもあります。X線像で骨端線離開の推移を健側と比較して評価しますが、画像的治癒に至るまでは年単位でかかることもあります。運動時痛が消失し、他部位の機能改善が得られたら、シャドーピッチングから段階的に開始します。投球復帰へ段階的に進める際も、投球動作に必要な機能が維持されているかを、外来で必ず確認することが重要であります。そして、完全に競技復帰を果たした後も、肩甲胸郭機能異常などの再発徴候がないかを定期的にチェックし、追加のリハビリテーションやセルフエクササイズの必要性を検討します。それらを継続することで、選手や保護者と、我々医療者の信頼関係にも良い影響を及ぼすと考えられます。大半が保存療法で症状改善し、競技復帰できるが、骨端線離開が高度で症状が遷延する場合は、専門施設へ紹介することがあります。

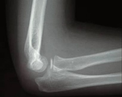
投球動作では肘内側に強大な牽引ストレスが加わります。この牽引ストレスが繰り返し加わることが肘内側障害の主たる原因です。内側の靭帯や成長線が痛んだり、骨が剥がれたりすることで、投球時の肘の痛みを生じます。特にピッチャーをやっている子に多く、投球以外は痛みが出ないことも特徴です。しかしながら、痛みがあると野球のパフォーマンスは低下しますので、早期診断早期治療することが重要です。下の図は野球肘の障害部位の内訳です。内側障害は53%と野球肘の半数以上は内側障害であることが分かります。

診察で内側の圧痛や外反ストレステストで肘の痛みが誘発されることを確認します。またレントゲンやエコーで骨端線の離開や内側上顆下端の分離や分節がないかを確認します。

治療は、投球制限を中心とした保存療法が基本となります。まず本人の自覚症状、他覚所見が消失するまで投球は中止します。練習では、痛みがなければバッティング、捕球のみの守備練習やランニングは許可します。また投球を中止している間に、ボールの握り方や柔軟性を確認するとともに、野球に必要な基本的な身体の使い方について指導を行います。
通常2〜3週間で可動域制限がまず消失し、次いで圧痛、最後に外反ストレスが消失します。外反ストレス痛が消失すれば、X線像上での修復を待つことなく投球を再開させます。投球は、まず塁間の半分の距離、山なりの強さ(50%程度)で、20球程度のキャッチボールから開始し、休養を挟みながら徐々に投球強度を漸増します。投球開始後、約2〜3週間でチームに復帰させるが、投球中止期間が1カ月以上の場合には、復帰まで4週間以上の時間をかけます。
X線像での修復には1年以上を要することが多く、競技復帰後も2〜3カ月ごとに定期的な確認が必要です。X線像上での修復過程は、初期の場合、内側上顆下端にみられた透亮像の中に新生骨が出現します。新生骨と母床はともに肥大しながら徐々に骨性癒合する傾向がみられます。進行期では分節部が母床部とともに肥大を伴い骨性癒合します。修復例では、肥大や骨棘様の変化を伴うことが多いです。非修復例では、母床、分節部ともに肥大しながら癒合不全となり、最終的に遊離骨片を形成します。手術加療は、疼痛を有し保存療法に反応しない遊離骨片が適応となり、摘出術とともに靱帯修復術や再建術が適応されます。
引用・考察

野球肘で肘の内側の他に痛みが出やすいのは、肘の後方です。繰り返しの牽引ストレスによって、肘後方の骨の成長線や筋の付着部に負担がかかったり、疲労骨折を起こすことを野球肘の後方障害と呼びます。野球肘の5人に1人は後方障害を伴っていると言われています。

身体所見で肘の後方の圧痛やストレステストでの痛みの誘発を確認します。またレントゲンやCT、MRIで肘頭の成長線の開きや疲労骨折などの有無を確認します。

投球中止を主体とした局所安静がまず1つ目の保存療法であります。投球再開の時期については、シーズン中かシーズンオフかなど、選手の置かれている状況は考慮しますが、局所所見の消失と画像的な改善が条件であります。投球障害の選手は、身体機能に共通した問題を持っていることが多く、肩甲胸郭関節・体幹・股関節周囲の支持性と柔軟性を評価して必要なリハビリテーションを実施します。復帰に向けて段階的に運動強度を上げていくなかで、リハビリテーションの結果が実際の投球動作に反映されずに再発リスクの高い状態であれば、基本的運動療法に加え患者教育(障害の発生機序や投球動作に関する基本的知識の伝達)を行い、動作改善につなげることも必要と考えています。また近年、運動器の様々な疾患に対して体外衝撃波治療が試されており、理論的には肘頭障害に対しても有用である可能性があります。
引用・参考

離断性骨軟骨炎は肘の外側の骨が投球の繰り返しのストレスで痛むことで発症します。初期では症状が乏しいため、一般的には手術を要するような進行した状態で外来受診することが多いと言われています。また野球検診の広がりにより、離断性骨軟骨炎の早期発見が増えていると報告されています。

肘の可動域、圧痛点、ストレステストを行います。またレントゲンやエコーの検査で画像診断を行います。


病期によって修復率に大きな差があるため、病期に応じた目標を明確に説明しておくことも重要です。
初期および初期に近い進行期では完全修復を目指します。修復には最低1年を要することを予め説明します。終末期に近い進行期では病巣の縮小を目指します。仮に完全修復せず遊離体を形成し手術に至る場合でも、病巣が小さいと術後成績が良いと言われています。終末期で症状を有する場合は手術を勧めます。終末期でも症状の乏しい症例では保存的に経過観察することもあります。手術方法は、病巣範囲が狭い場合には郭清術、広範囲にわたる場合は骨軟骨柱移植術を行うことが多いです。遊離体が巣内にあり、骨の厚みが十分(約5mm以上)な場合は接合術を考慮します。

引用・考察

お子さんが腕を引っ張られた後に肘の痛みを生じ、腕を動かさなくなることがあります。そのような病気を肘内障と言います。幼稚園のお子さんに多く、腕が引っ張られることで、肘の輪状靭帯が亜脱臼することで生じる病気です。

圧痛や腫れ、痛みの場所を確認します。まれに骨折が隠れていることもあるため、念のためレントゲンで骨折がないかをチェックします。

徒手整復を行い治します。具体的には肘を45度屈曲にした状態で前腕を回内させて整復します。整復する際にクリックを感じたら整復されていることが多いです。それでもダメな場合は回外法を試し、シーネ固定を行い、翌日受診してもらいます。
引用・参考
TOP