首のお悩み
首のお悩み

現代技術の発展により、スマートフォンの使用が急速に増加しています。
総務省の令和3年版の情報通信白書の情報通信機器の保有状況の調査では、スマートフォンユーザーは日本の人口の69.3%と報告されています1)。
スマートフォンの普及率が急上昇するにつれて、1日あたりの使用時間も急速に増加しています。
しかし、長時間にわたるスマートフォン使用中の頭部の前傾姿勢(不良な姿勢)は、首や肩の痛みや頭痛、慢性疲労感、自律神経症状などを引き起こす可能性があります。
スマートフォンの使用だけでなく、パソコンやデスクワーク、長時間の運転や高さの合わない枕の使用などでもストレートネックは生じるため注意が必要です。

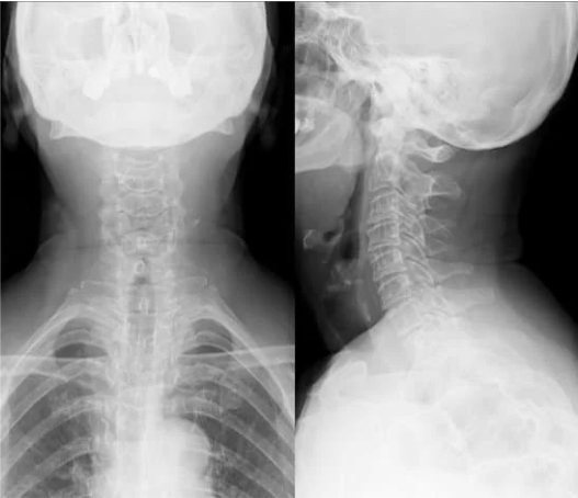
まずレントゲンを撮像し、正面と側面、顎を引いた状態、顎を上げた状態での頸椎の骨の並びや動揺があるかを評価し診断を行います。
首の痛みが悪化しない範囲で撮影しますので、ご安心ください。

一番大切なことはストレートネックやスマホ首の原因となるような姿勢を避けることです(2)。
また、30分間以上の同じ姿勢保持を回避したり、携帯やパソコンの使用は15分から30分使用したら休憩することをお勧めします。
避けた方がよい姿勢や休憩の仕方を描き起こしましたのでご覧ください。

次に鎮痛薬や湿布などを使用してもらい消炎を図り、当院では物理療法(温熱,電気,牽引,近赤外線)を併用し症状を緩和していきます。
またタオルを用いたアライメント調整法(図7)を指導しています。
最後に日常での空き時間を利用して図8に示すアライメント調整法も指導しております。

引用・参考
首の椎間板というクッションが破れて,中身(髄核)が後ろの神経を押して症状を引き起こしている状態を頸椎椎間板ヘルニアと言います。
発症年齢は30〜50歳代に多く、症状としては首の痛み、肩甲骨の痛みしびれ、肩や腕、手の痛みしびれを生じることが多いです(1)。

診断はしびれや痛みの範囲、レントゲン所見で頸椎椎間板ヘルニアを疑います。
また図2のように首を伸ばしたり、横に曲げたりすることで痛みが誘発される場合はヘルニアを強く疑います(2)。

首のMRIで神経の圧迫所見がある場合確定診断します。


治療の第一選択は保存治療です。
まずは首の安静を図るために頸椎のカラーを使用してもらうことが多いです。
カラーに下顎を乗せてもらい、痛みを緩和させます。
同時に痛み止めの内服や湿布を併用したり、首の牽引療法や電気療法を行い、除痛の相乗効果を狙います。
ヘルニアは自然に吸収され、症状が軽減することが多いため、痛みがある間だけしっかり治療していただくことを推奨してます。
引用・参考
頚椎症はヘルニアと違って、加齢とともに生じる首の骨の並び方の異常や首の神経の周りの靭帯が分厚くなることにより、神経の枝や本幹が圧迫されることにより生じます。
首だけの痛みの場合は頚椎症、腕のしびれを伴う場合は頚椎症性神経根症、手の使いにくさや歩きにくさまで伴う場合は頚椎症性脊髄症ということもあり呼び方が紛らわしい病気です。
ヘルニアよりも年齢を重ねて発症することが多いので、高齢者に多いです。

頚椎症の診断はヘルニア同様、痛みしびれの範囲、レントゲン、MRIで行います。
レントゲンで骨と骨の隙間が狭くなっていたり、骨がずれているなどの変性所見(加齢性の変化)があると頚椎症を考えます。

また頸椎MRIで脊髄の圧迫と信号変化があると頚髄症を強く考えます。
首の痛みや腕のしびれ痛みの場合はヘルニアと同様の保存治療を行います。
まずは首の安静を図るために頸椎のカラーを使用してもらうことが多いです。
カラーに下顎を乗せてもらい、痛みを緩和させます。
同時に痛み止めの内服や湿布を併用したり、首の牽引療法や電気療法を行い、除痛の相乗効果を狙います。
しかし、腕のしびれ痛みがかなり強い場合、腕や手の力が入らない場合、手の使いにくさが強い場合(お箸やボタンかけができなくなることがあります)、歩行が不安定であったり、よろけたりする場合は神経の圧迫がかなり強いことが考えられます。
そのような場合はMRIを確認後、早期に手術ができる病院へ紹介することがあります。
TOP