骨折・ケガ
骨折・ケガ

上腕骨顆上骨折は小児の肘関節周囲骨折の中でもっとも高頻度に発生する骨折です。
好発年齢は5〜7歳で,男女差は近年少なくなってきています。
右利きが多い点から,左側受傷が右側の約2倍とされています。
遊具(ジャングルジムや鉄棒など)から転落した際に受傷する発生機序がよく知られており,肘を完全に伸ばした状態で手先をついて転倒・転落することによって引き起こされる伸展型が97〜99%を占めると言われています。
診察を行い、神経血管損傷の有無やコンパートメント症候群の有無を確認します。
またレントゲンを撮像することで診断します。


ずれが少ないものはギプスによる保存治療を行います。4週程度ギプス固定を行うことが多いです。ずれの大きいものは手術となります。
その場合は総合病院へ紹介いたします。
引用・考察

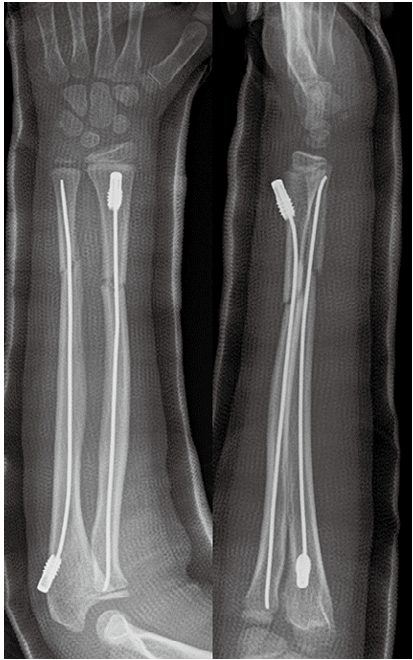
小児前腕骨骨折は日常診療で最も多く遭遇する骨折であり,小児全年齢層の骨折中40%を占めるとされています。
受傷年齢は4〜14歳が多く,受傷機転はほとんどが転倒・転落で,骨折部位は骨幹端,骨端が最も多く,次いで骨幹部骨折が多いです。
小児前腕骨骨折は,年齢,骨折部位,転位の程度や方向,リモデリング能力に応じて治療方針を決定します。
治療成績は一般的に良好ですが,成長障害や再骨折のリスクが高いものもあります。

ずれが少ないものはギプスによる保存治療を行います。4週程度ギプス固定を行うことが多いです。ずれの大きいものは手術となります。
その場合は総合病院へ紹介いたします。
引用・考察

お子さんが整形外科のクリニックに来られる理由で一番多いのは足の捻挫です。
登下校中や運動中、遊びの中で足を捻り、受傷します。
特に多いのが外側の前距腓靭帯という靭帯を傷めてしまうことによる、靭帯損傷の割合が多いです。
適切な初期対応をしないと、癖になったり、痛みが慢性化することもあるので、早期に整形外科を受診することが大切です。

まずは痛みの場所を確認します。
外側が痛いのか内側が痛いのかで、損傷している靭帯が異なってきます。

またレントゲンやエコーで骨折の有無や靭帯損傷の程度を確認します。


損傷の程度が小さい場合はサポーターによる固定を3-4週程度行います。
痛みが引けば、軽い運動から開始していただきます。

損傷の程度が強い場合はギプスによる外固定を2-4週行い、その後サポーターへ切り替えます。
サポーターをしながら軽い運動から許可していきます。


橈骨遠位端骨折は高齢者に多い骨折で60〜70歳台の方に多い骨折です。
転んだ時に手を地面について生じます。
骨粗しょう症が背景にあり、弱くなった骨に衝撃が加わることで生じます。
保存治療でも良好な成績を得ていますが、放置するとズレが大きくなってきますので、しっかりした初期治療が大切です。

基本的には痛みの場所を確認し、レントゲンで診断可能です。
細かな評価や骨折線が分かりにくい場合はCTを撮ることもあります。

治療は基本的に保存治療です。
ギプスによる固定を4〜6週間行います。
その後は硬くなった関節を柔らかくするために、温熱療法やリハビリを行います。
保存治療の成績は良好ですが、ズレが大きい場合は手術となることもあります。

腰椎圧迫骨折は骨粗しょう症を背景にして、転倒などをきっかけに生じる高齢の方に多い病気です。
いつの間にか骨折と言われ、転倒などのきっかけがない場合もあります。
腰の痛みはかなり強く、動けなくなり入院となることもありますので、まずは腰椎圧迫骨折にならないように予防(骨粗しょう症の治療)を行うことが重要になってきます。
腰椎圧迫骨折の予防=骨粗しょう症の適切な治療です。
ホームページ内に骨粗しょう症の診断から治療までの記載がございますので参照していただけたらと思います。

診断はレントゲンで行います。
正面と側面を確認し、つぶれている腰骨がないかチェックします。
腰骨がつぶれてなくても安心はできず、不顕性骨折と言ってレントゲンでわからない骨折もあるので、痛みが強い場合はMRIで診断することもあります。

まずは痛みをとるために薬の処方を行い、また腰骨を安定化させるためにコルセットの作成を行います。
また除痛効果のある注射を定期的にうち、痛みを和らげていきます。
骨粗しょう症の治療をしていない方は骨粗しょう症の治療を早期に開始して、再発しないように努めます。
痛みが慢性化しそうな場合は物理療法も並行して行い、痛みが緩和する方向に治療していきます。

大腿骨頸部骨折は上の二つと同様骨粗しょう症を背景に転倒がきっかけで生じることが多い骨折です。
股関節痛が強く動けない方もいれば、骨折部が噛み込んで安定し歩いて来院する方もいます。
基本的に体重をかけるとズレが大きくなり、骨がつきにくくなるので、よっぽどのことがない限り手術をすることが多いです。
そのため早期診断が大切になります。

診断はレントゲンで行います。
レントゲンはわかりにくい場合もあるため、その時はCTを確認します。

治療は基本的には手術です。
骨を金属の固定具で支え、骨を温存し骨癒合をさせる手術、骨を完全に人工物・金属で置き換える手術、人工股関節に置き換える手術など手術方法は患者さまの背景や骨折のタイプによってえらばれます。
TOP